Orthodontics is the branch of dentistry that specializes in the diagnosis, prevention and treatment of dental and facial irregularities. The technical term for these problems is "malocclusion," which means "bad bite." The practice of orthodontics requires professional skill in the design, application and control of corrective appliances, such as braces, to bring teeth, lips and jaws into proper alignment and to achieve facial balance.


Traditional metal braces are the most common type of braces and are more comfortable today than ever before. Made of high-grade stainless steel, metal braces straighten your teeth using metal brackets and archwires. With metal braces, you have the option of adding colored elastics (rubber bands) for a more unique and colorful smile.
Ceramic braces are made of clear materials and are therefore less visible on your teeth than metal braces. For this reason, ceramic braces are used mainly on older teenagers and adult patients who have cosmetic concerns. While they are visually less prominent, they do require more attention to oral hygiene as ceramic braces are larger and are more brittle than their metal counterparts. For these reasons, ceramic braces tend to be used more on upper front teeth than on lower teeth.


Invisalign is a proprietary method of orthodontic treatment which uses a series of clear, removable teeth aligners used as an alternative to traditional metal dental braces. Invisalign gives you straight teeth without using braces.
Lingual braces custom made fixed braces. In lingual braces the brackets are cemented onto the backside of the teeth making them invisible. Hence, Lingual braces are a cosmetic alternative to those who do not wish the braces to be visible. Lingual Braces are commonly used to fix Bad bite occurring as a result of misaligned teeth. Also used to correct Gaps, crowding, rotated teeth, hence improving the cosmetic appearance of the teeth.

In conventional orthodontic treatment anchorage support usually taken from posterior teeth. In implant supported orthodontic treatment anchorage is taken from mini implants, which are inserted into the bone with minor surgical procedure. This technique can provide absolute anchorage, so that it can provide better aesthetic results.
Functional Jaw Orthopedics is the process of ensuring that the jaws are in their correct positions and that they are the correct shape and size. This improves balance within the skeletal system of the skull. When this treatment is performed on a dental patient many health benefits can arise. Things like :
Removable appliances (braces) include removable aligners and functional appliances as well as simple conventional types.



We offer variety of services to improve your smile. There are many techniques and options to treat your teeth that are discolored, chipped, misshapen or missing. Your dentist can reshape your teeth, close spaces, restore worn or short teeth or alter the length of your teeth.
These improvements are not always just cosmetic. Many of these treatments can improve oral your problems.

Smile is a person’s ability to express a range of emotions with the movement of the teeth and lips.The goal of smile designing is to develop a peaceful and stable masticatory system, where the teeth, tissues, muscles, skeletal structures and joints all function in harmony
Tooth whitening shines your teeth and helps to remove stains and discoloration. Whitening is among the most popular cosmetic dental procedures because it can greatly improve how your teeth look, it will increase our confidence. We can help you to show up your beautiful white teeth in front of others.


A crown is used to entirely cover or cap a damaged tooth. Besides strengthening a damaged tooth, a crown can be used to improve its appearance, shape or alignment. A crown can also be placed on top of an implant to provide a tooth-like shape and structure for function. Porcelain or ceramic crowns can be matched to the color of your natural teeth.
Dental jewelry gives an extra sparkle to your smile. It gives you a smile that will dazzle others. These cosmetic procedures have to be accomplished by professionals with professional products. The dental jewellery does not need to be pre-treated and is bonded onto the tooth in the same way as an orthodontic bracket. This ensures that the health of teeth is maintained.


veneer is a thin layer of material placed over a tooth, either to improve the aesthetics of a tooth or to protect a damage to a tooth's surface. There are two main types of material used to fabricate a veneer: composite and dental porcelain.These shells are bonded to the front of the teeth changing their color, shape, size, or length.
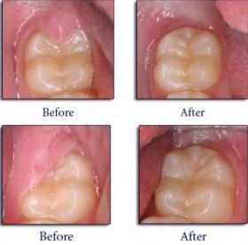
Endodontic therapy or root canal therapy is a sequence of treatment for the pulp of a tooth which results in the elimination of infection and protection of the decontaminated tooth from future microbial invasion. This set of procedures is commonly referred to as a "root canal".Today, root canal treatment saves many teeth that would otherwise be lost.
Previously root canal treatment was done in multiple visits that includes four to five visits. But now with the advanced technologies RCT can be done in single visit(Single sitting RCT).

Prosthodontics is the dental specialty pertaining to the diagnosis, treatment planning, rehabilitation and maintenance of the oral function, comfort, appearance and health of patients with clinical conditions associated with missing or deficient teeth and/or oral and maxillofacial tissues using biocompatible substitutes.


A crown is used to entirely cover or cap a damaged tooth. Besides strengthening a damaged tooth, a crown can be used to improve its appearance, shape or alignment. A crown can also be placed on top of an implant to provide a tooth-like shape and structure for function. Porcelain or ceramic crowns can be matched to the color of your natural teeth.
in metal free ceramic crowns, the metallic look and the black lines disappear.They are not only highly aesthetic but also offer high strength restorations to dental industry.


Zircon crowns are again full ceramic crowns and bridges without metal reinforcement. Zircon (synthetic diamond) has exceptional rigidity that enables us to carry out large restorations with improved mechanical forecast.The aesthetic results are excellent and restores the appearance of natural tooth.
A lava crown is one of the strongest ceramic crowns available in the world Lava crowns provide excellent aesthetics and translucency besides an outstanding marginal fit.
A bridge is a fixed dental restoration used to replace a missing tooth by joining an artificial tooth permanently to adjacent teeth or dental implants.
A bridge is fabricated by reducing the teeth on either side of the missing tooth or teeth by a preparation pattern determined by the location of the teeth and by the material from which the bridge is fabricated.


Dental implants are used to retain artificial teeth, facial prosthetics or to act as anchor points for orthodontics by making use of osseointegration, the biologic principal where certain metals or ceramics create a connection to living bone to support physical loads, for decades, without failure.
A denture is a removable replacement for missing teeth and surrounding tissues. Complete dentures can be either "conventional" or "immediate." Made after the teeth have been removed and the gum tissue has begun to heal, a conventional denture is ready for placement in the mouth about eight to 12 weeks after the teeth have been removed.


A removable partial denture or bridge usually consists of replacement teeth attached to a pink or gum-colored plastic base, which is connected by metal framework that holds the denture in place in the mouth. Partial dentures are used when one or more natural teeth remain in the upper or lower jaw.
Paediatric Dentistry or dentistry for children is a branch of dentistry which deals with problems related to children’s teeth. A very few people understand the need of taking kids to specialised dentists. The first visit for a child to visit a dentist is when s/he has first tooth erupted. Even infants can have numerous dental problems such as nursing bottle caries, early tooth loss, cavities and a lot more.
In fact due to certain habits such as thumb- sucking, kids are prone to develop rabit teeth, lisping, crooked and uneven teeth, gaps between teeth- which can be cured by orthodontic treatment or braces to straighten teeth. The fact is that braces or dental brackets work their best in teenage of your child. After that bones become harder and such dental treatments may take either longer or have lesser affect. However, there are now various other technologies and better solutions for straightening of teeth in adults too.

Even before the teething starts, it is advisable to condition the child to oral cleaning. Just wipe the mouth with a soft cloth, every time after feeding! As soon as the first tooth breaks into the oral cavity, introduce a soft finger toothbrush for your child.
It’s advisable to bring them at the age of 1, just around their first birthday, then again at 2 and after that twice yearly. That way, we can catch signs of decay early and help to prevent the same. Also, the infant gets familiarised with the surroundings thereby making the subsequent visits simpler and anxiety free.
Most infants have healthy teeth at this age. However, this is the right time to analyse the growth, development and other inherited aspects of mouth and teeth. Counselling for the parents regarding oral health and hygiene forms an important part of the first visit! The most important first treatment is the tooth brushing techniques and advice for the same. A professional cleaning is recommended to ensure that your child’s mouth is plaque and bacteria free. Other treatments include FISSURE SEALANTS, FLUORIDE TREATMENTS, RESTORATIONS, PULP THERAPY (ENDODONTICS) AND PROSTHESIS if required!!!
At this stage, it is very important for the parent to be aware that the mouth is extremely prone to plaque accumulation. This is because the child may not be brushing well due to discomfort. Also, there are pockets formed in the gum area because of eruption of teeth. Decay in the teeth is therefore much likely to occur in this age. Also, it is important for the parent and the child to understand that the new teeth are not completely mature and hence maintenance of oral hygiene should be of prime importance! Some additional fluorides too could be helpful at this stage.
TWICE!!......brushing twice daily should be mandatory for your child this age….. two visits to the dentist in a year is recommended.

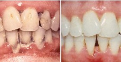
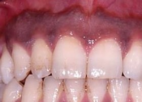
Periodontics is that specialty of dentistry which encompasses the prevention, diagnosis and treatment of diseases of the supporting and surrounding tissues of the teeth or their substitutes and the maintenance of the health, function and esthetics of these structures and tissues.


More advanced cases of gum disease are treated by surgery performed by a dentist or periodontist (a specialist that treats diseases of the gums and supporting structures of the teeth). The following surgical procedures are used, depending on the severity of the disease:


One of the leading cause of gum disease is poor dental hygiene habits. By actively cleaning your teeth, flossing between your teeth and stimulating your gums, you can take better care of your teeth and gums (the Skin of Your Teeth) every day:
Oral and Maxillofacial Surgery (OMS) is a specialty of medicine and dentistry that focuses on the diagnosis, surgical treatment, and management of diseases and disorders of the face and jaws.


Wisdom teeth, otherwise known as third molars, are the last set of teeth to develop. Sometimes one or more of these third molars fails to emerge in proper alignment or fails to fully emerge through the gum line and becomes entrapped or "impacted" between the jawbone and the gum tissue. Impacted wisdom teeth can result in swelling, pain, and infection of the gum tissue surrounding the wisdom teeth. In addition, impacted wisdom teeth can cause permanent damage to nearby teeth, gums, and bone and can sometimes lead to the formation of cysts or tumors that can destroy sections of the jaw. Therefore, dentists recommend people with impacted wisdom teeth have them surgically removed.
A root end surgery, also known as apicoectomy is an endodontic surgical procedure where a tooth's root tip is removed and a root end cavity is prepared and filled with a biocompatible material. This is usually necessitated when a conventional root canal therapy had failed and a re-treatment was already unsuccessful or is not advised.


Pericoronitis is inflammation of the soft tissues surrounding the crown of a partially erupted tooth, including the gingiva (gums) and the dental follicle. Operculectomy a minor surgical procedure where the inflamed soft tissue is removed from around the crown of the tooth, and can be done with a normal surgical scalpel, with electrocautery, or with lasers.